Meme Kisti Kaç Mm Tehlikelidir
Meme Kisti Kaç Mm Tehlikelidir

Meme kisti tehlikeli midir sorusu, meme ultrasonu sonrası en sık sorulan sorulardan biridir.
Klinik olarak meme kistlerinin büyük bölümü basit meme kisti yapısındadır ve bu tip meme kisti oluşumları kansere dönüşmez. Bu nedenle tek başına meme kisti saptanması, kötü huylu bir durumu ifade etmez.
Meme kisti değerlendirmesinde en önemli kriter ultrason bulgularıdır.
Meme kisti kaç cm tehlikelidir sorusunun net bir sayısal karşılığı yoktur. Çünkü meme kistinde risk, santimetre veya milimetre ölçüsünden çok kistin yapısal özelliklerine göre belirlenir. Küçük bir meme kisti şüpheli olabilirken, daha büyük bir meme kisti tamamen iyi huylu özellikler gösterebilir.
Meme kisti 5 mm ne anlama gelir diye bakıldığında; düzgün sınırlı, anekoik yapıda olan 5 mm meme kisti genellikle basit meme kisti olarak değerlendirilir ve çoğu zaman yalnızca takip edilir. Ancak meme kistinde duvar kalınlaşması, iç yansıma, nodül, hızlı büyüme veya hassasiyet varsa BI-RADS sınıflamasına göre ileri değerlendirme yapılır.
Kistten gelen sıvının kanlı olması durumunda patolojik inceleme gerekebilir. Ağrıya ya da estetik rahatsızlığa neden olan büyük meme kistlerinde aspirasyon düşünülebilir ve karar kişiye özeldir.
Meme kisti tanı ve takibi, Ordu Medical Park, Medical Park Pendik (Pendik Medical Park), Medical Park Kocaeli, Medical Park Gebze, Medical Park Antalya, Medical Park Keçiören, Medical Park Bahçelievler, Medical Park Ataşehir, Medical Park TEM Hastanesi ve Medical Park Florya gibi merkezlerde ultrason ve klinik değerlendirme birlikte yapılarak güvenle planlanmaktadır.
Boyuta Göre Meme Kisti Yol Haritası
| Boyut aralığı | Tipik ultrason bulgusu | Sık belirtiler | BI-RADS eğilimi* | Kontrol | Kontrol aralığı |
|---|---|---|---|---|---|
| < 5 mm | Anekoik, ince duvar | Belirti yok | 2 | Semptomsuz izlem | 12 ay |
| 5–9 mm | Basit kist görünümü | Adet öncesi hassasiyet | 2 | Eğitim + izlem | 6–12 ay |
| 10–19 mm | Basit veya hafif iç eko | Dolgunluk, ara ağrı | 2–3 | Yakın izlem; şüphede hedefe USG | 3–6 ay |
| ≥ 20 mm | Basit ise iyi huylu; şüphede dikkat | Gerginlik, ağrı | 2–4 | Semptom varsa aspirasyon değerlendirilir | 3 ay |
| Hızlı büyüme | Duvar düzensizliği / solid alan eşlik edebilir | Ağrı artışı | 4+ | Öncelikli meme cerrahisi değerlendirmesi | Kısa aralık (hedefe USG) |
*BI-RADS eğilimi satırı, tipik klinik pratikte görülen yaklaşımı anlatır; kesin karar rapora ve muayeneye göre verilir.
Meme Kisti Belirtileri
Meme kisti nasıl anlaşılır sorusu, memede ele gelen bir kitle fark eden kişilerin en sık aradığı konulardan biridir. Meme kisti genellikle ele gelen, yuvarlak, düzgün sınırlı ve hareketli bir kitle şeklinde hissedilir. Bazı meme kistleri dokunmakla gerginlik hissi oluşturabilirken, bazıları tamamen fark edilmeden yalnızca görüntüleme sırasında saptanır.

Meme kisti varlığında kesin tanı, mutlaka ultrason ve klinik muayene ile konur.
Meme kisti ağrısı özellikle hormonal değişimlerle ilişkilidir.
Meme kisti olan kişilerde adet öncesi dönemde memede hassasiyet, dolgunluk hissi ve zaman zaman zonklayıcı ağrı görülebilir. Bu ağrı genellikle döngüsel olup adet sonrasında azalır. Ancak ağrının şiddetlenmesi veya tek taraflı ve sürekli hale gelmesi durumunda meme kisti mutlaka yeniden değerlendirilmelidir.
Meme kisti iyi huylu belirtiler arasında; düzgün sınırlı, kaygan yapıda, palpasyonla yer değiştirebilen kitle, memede kızarıklık ya da ısı artışının olmaması ve meme başı akıntısının eşlik etmemesi yer alır. Bununla birlikte bu bulgular meme kistinin iyi huylu olduğunu düşündürse de, tek başına tanı koydurmaz.
Her yeni meme kisti, mevcut meme kistinde boyut veya yapı değişikliği mutlaka radyolojik inceleme ile değerlendirilmelidir.
Meme kisti tanı ve takibi için Ordu Medical Park, Medical Park Pendik (Pendik Medical Park), Medical Park Kocaeli, Medical Park Gebze, Medical Park Antalya, Medical Park Keçiören, Medical Park Bahçelievler, Medical Park Ataşehir, Medical Park TEM Hastanesi ve Medical Park Florya gibi merkezlerde aynı gün değerlendirme ve uygun görüntüleme planlaması yapılabilmektedir. Meme kisti ile ilgili tanı ve tedavi süreciniz için bizimle iletişime geçebilirsiniz.
Yapıya Göre Meme Kisti Risk Sinyalleri
| Yapısal özellik | Ne anlama gelir | Örnek ultrason ifadesi | Önerilen | Neden önemli |
|---|---|---|---|---|
| Basit kist | Tam sıvı, ince duvar, düzenli kontur | “Anekoik, arka akustik güçlenme” | Semptomsuzsa izlem | Kansere dönüşme beklenmez |
| Komplike kist | İç eko, tortu, hafif bulanıklık | “İnternal ekolar mevcut” | 3–6 ayda yakın izlem veya tanısal aspirasyon | İçerik nedeniyle yanlış negatif riski azaltmak gerekir |
| Kompleks kist | Solid komponent, kalın septa, duvar çıkıntısı | “Duvar nodülü, kalın septasyon” | Biyopsi değerlendirmesi | Malignite dışlanmalıdır |
| Kanlı aspirat | Aspirasyonda kanlı içerik | “Hemorajik içerik” | Sitolojik inceleme ve gerekirse cerrahi | Kötü huylu olasılığı açısından kırmızı bayrak |
| Hızlı büyüme | Kısa sürede belirgin artış | “Takipte boyutta hızlı artış” | Öncelikli değerlendirme | Dinamik artış, yapı ile birlikte risk oluşturur |
| Eşlik eden cilt değişikliği | Çekinti, portakal kabuğu, akıntı | “Ciltte retraksiyon” | Acil meme cerrahisi muayenesi | Yapısal kötüleşme göstergesi olabilir |
Şüpheli bulgulardan biri varsa boyut küçük olsa bile biyopsi gerekebilir. Raporunuzdaki ifadeleri bizimle paylaşın; içeride tedaviniz için bizimle iletişime geçin ve birlikte yol haritası çıkaralım.
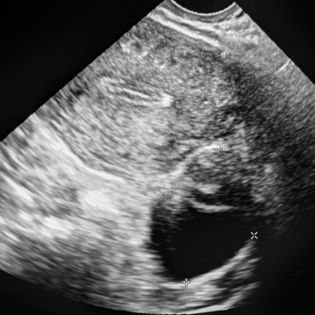
Meme Kisti Görüntüleri ve Ultrason

Meme kisti ultrasonda nasıl görülür sorusu, görüntüleme raporunu okuyan hastaların en çok merak ettiği başlıklardan biridir. Ultrason incelemesinde meme kisti genellikle anekoik (siyah), düzgün sınırlı ve arka akustik güçlenmesi olan bir odak şeklinde izlenir.
Bu bulgular, en sık karşılaşılan ve iyi huylu kabul edilen basit meme kisti ile uyumludur.
Basit meme kisti saptandığında çoğu zaman ek bir işleme gerek kalmadan takip önerilir.
Meme kisti içeriği yoğun olan durumlarda ultrason görünümü farklılık gösterir.
Meme kisti içerisinde iç yansımalar, tortu, hafif bulanıklık veya duvar kalınlaşması görülmesi, kistin komplike ya da kompleks meme kisti olabileceğini düşündürür. Bu ayrım oldukça önemlidir çünkü bu tip meme kistlerinde izlem aralığı kısalabilir ya da ileri değerlendirme gerekebilir.
Ultrason bulguları, meme kistinin yapısal özelliklerini netleştirmede temel rol oynar.
Meme kisti anekoik kist nedir sorusuna gelince; “anekoik” terimi, ses dalgasını yansıtmayan ve tamamen sıvı içerikli yapıyı ifade eder. Anekoik meme kisti çoğunlukla iyi huyludur ve kansere dönüşüm riski beklenmez. Ancak her meme kisti ultrason raporunda BI-RADS kategorisi ile birlikte değerlendirilir ve klinik bulgularla birlikte yorumlanır.
Bu nedenle yeni saptanan ya da yapısı değişen her meme kisti mutlaka uzman değerlendirmesinden geçmelidir.
Meme kisti ultrason değerlendirmesi Ordu Medical Park, Medical Park Pendik ve Pendik Medical Park başta olmak üzere Medical Park Kocaeli, Medical Park Gebze, Medical Park Antalya, Medical Park Keçiören, Medical Park Bahçelievler, Medical Park Ataşehir, Medical Park TEM Hastanesi ve Medical Park Florya gibi merkezlerde deneyimli radyoloji ekipleri tarafından yapılmaktadır.
Bu merkezlerde meme kisti aynı gün değerlendirilebilir ve ultrason bulgularına göre kişiye özel takip veya ileri inceleme planı oluşturulabilir.
Meme Kisti Sık Sorulan Sorular

Meme kisti hangi doktor bakar?
Meme kisti şüphesinde öncelikle meme cerrahisi veya genel cerrahi uzmanına başvurulmalıdır. Meme kisti değerlendirmesi mutlaka radyoloji ile birlikte yapılır; ultrason ve gerekirse mamografi ile kistin yapısı netleştirilir.
Meme kisti hangi bölüm bakar?
Hastanelerde meme kisti takibi genellikle meme poliklinikleri veya genel cerrahi birimleri tarafından yürütülür. Görüntüleme süreci radyoloji bölümüyle eş zamanlı ilerler.
Meme kisti ne zaman tehlikelidir?
Meme kisti içinde solid alan, düzensiz duvar, kalın septa, kanlı akıntı, ciltte çekinti veya meme başında içe çekilme varsa yakından inceleme gerekir. Yeni ortaya çıkan ya da kısa sürede büyüyen meme kisti durumlarında zaman kaybetmeden hekime başvurulmalıdır.
Meme kisti ameliyatı kaç saat sürer?
Meme kisti ameliyatı genellikle 30–60 dakika süren, çoğu zaman günübirlik yapılan bir işlemdir. Süre, meme kistinin boyutuna ve şüpheli alanın kapsamına göre değişebilir.
Meme kisti emzirmeye engel mi?
Basit meme kisti çoğunlukla emzirmeye engel değildir. Ancak enfeksiyon, cerrahi drenaj ihtiyacı veya belirgin ağrı varsa emzirme süreci hekim kontrolünde planlanır.
Meme kisti patlaması olur mu?
Nadir durumlarda ince duvarlı meme kisti kendiliğinden boşalabilir. Ani küçülme ve hassasiyet azalması görülebilir; yine de kontrol muayenesi önerilir.
Meme kisti neden büyür?
Meme kisti büyümesinde hormonal dalgalanmalar, sıvı birikimi ve zamanla oluşan yapısal değişimler etkili olabilir. Asıl risk değerlendirmesi, boyuttan çok ultrason bulgularına göre yapılır.
Meme kisti ve lenf nodu ilişkisi nedir?
Meme kisti ile lenf nodu aynı yapı değildir. Lenf nodları bağışıklık sistemine aittir; meme kisti ise sıvı dolu yapılardır. Görüntülemede ayrı ayrı değerlendirilirler.
Meme kisti akıntı yapar mı?
Meme kisti doğrudan akıntı yapmaz. Kanlı veya berrak akıntı varsa süt kanallarıyla ilgili patolojiler açısından acil değerlendirme gerekir.
Meme kisti kümesi nedir?
Aynı bölgede çok sayıda küçük meme kistinin bir arada görülmesine mikrokist kümeleri denir. Çoğunlukla iyi huyludur ve rapora göre takip edilir.
Meme kisti multipl ne demek?
Bir memede veya her iki memede birden fazla meme kisti bulunmasıdır. Yönetim, kistlerin ultrason yapısına göre planlanır.
Meme kisti septalı ne demek?
Meme kisti içinde ince bölmeler (septa) vardır. Kalın septa veya eşlik eden solid alanlar şüpheyi artırır ve yakın izlem gerektirir.
Meme kisti lobüle konturlu ne demek?
Kistin dış sınırlarının yuvarlak değil, dalgalı-lobüllü olmasıdır. Başka şüpheli bulgular eşlik ediyorsa ileri değerlendirme yapılır.
Meme kisti internal ekolar içeren ne demek?
Kist içinde tortu veya yoğunluk görülmesidir. Bu durum komplike meme kisti olarak raporlanabilir; kısa aralıklı takip veya tanısal aspirasyon önerilebilir.
Meme kisti parankimal kist ne demek?
Meme bez dokusu (parankim) içinde yer alan meme kistidir. Konumu, tedaviden çok takip planını etkiler.
Meme kisti anekoik ağrı yapar mı?
Anekoik (tam sıvı içerikli) meme kisti çoğu zaman ağrısızdır. Ancak boyut arttıkça gerginlik ve hassasiyet oluşabilir.
Meme kisti yanma yapar mı?
Yanma hissi genellikle cilt, sinir hassasiyeti veya kas gerginliğiyle ilişkilidir. Kalıcı yanma varsa diğer nedenler dışlanmalıdır.
Meme kisti nerede olur?
Meme kisti, meme dokusunun herhangi bir bölgesinde oluşabilir. Üst dış kadranda doku yoğun olduğu için daha sık fark edilir.
Meme kisti tanı ve takibi; Ordu Medical Park, Medical Park Pendik, Pendik Medical Park, Medical Park Kocaeli, Medical Park Gebze, Medical Park Antalya, Medical Park Keçiören, Medical Park Bahçelievler, Medical Park Ataşehir, Medical Park TEM Hastanesi ve Medical Park Florya gibi merkezlerde, genel cerrahi ve radyoloji iş birliğiyle aynı gün planlanabilmektedir. Meme kisti ile ilgili tüm sorularınız için uzman değerlendirmesi önemlidir.
TR